Thứ bảy, ngày 21/03/2026 14:00 GMT+7
Diệu Linh Thứ bảy, ngày 21/03/2026 14:00 GMT+7
Bệnh nhân mắc đồng thời hai ung thư nguyên phát: Ung thư đại tràng phải và ung thư đường mật trong gan – tình huống hiếm gặp.
GS.TS. Mai Trọng Khoa, Trung tâm Y học hạt nhân và Ung bướu – Bệnh viện Bạch Mai cho biết, Trung tâm vừa tiếp nhận và điều trị thành công một trường hợp đặc biệt khi bệnh nhân mắc đồng thời hai ung thư nguyên phát: Ung thư đại tràng phải và ung thư đường mật trong gan – tình huống hiếm gặp, đặt ra nhiều thách thức trong chẩn đoán và điều trị.
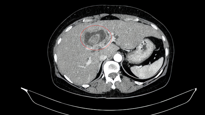
Bệnh nhân nữ, 59 tuổi, đi khám vì bị vàng da, ngứa và đau vùng hạ sườn phải kéo dài. Kết quả chẩn đoán hình ảnh cho thấy tổn thương đường mật trong gan kèm sỏi và giãn đường mật. Trong quá trình thăm khám toàn diện, nội soi tiêu hóa phát hiện thêm một khối u tại đại tràng lên.
Kết quả sinh thiết xác định đây là ung thư biểu mô tuyến. Sau hội chẩn đa chuyên khoa, các bác sĩ xác định bệnh nhân mắc đồng thời hai ung thư nguyên phát, thay vì một khối u di căn.

Cụ thể là bệnh ung thư đại tràng phải (giai đoạn sớm (IA), chưa di căn hạch) và ung thư đường mật trong gan (giai đoạn tiến triển (IIIB), có xâm lấn và di căn hạch).
Dựa trên thể trạng người bệnh và đặc điểm tổn thương, ê-kíp điều trị đã quyết định thực hiện phẫu thuật triệt căn trong cùng một lần mổ, bao gồm: Cắt đoạn đại tràng phải, nạo vét hạch D3; Cắt gan trái và đường mật ngoài gan
Phẫu thuật diễn ra thuận lợi, loại bỏ hoàn toàn các tổn thương. Sau mổ, bệnh nhân hồi phục tốt, chức năng gan mật dần ổn định.
Kết quả giải phẫu bệnh sau phẫu thuật cho thấy: Tổn thương đại tràng đã được cắt bỏ triệt căn, không cần điều trị bổ trợ; Ung thư đường mật có xâm lấn thần kinh và di căn hạch, cần tiếp tục điều trị bổ trợ
Bệnh nhân được chuyển sang điều trị tiếp tại Trung tâm Y học hạt nhân và Ung bướu để hóa trị bổ trợ, nhằm giảm nguy cơ tái phát.

Theo PGS.TS. Phạm Cẩm Phương, Giám đốc Trung tâm Y học hạt nhân và Ung bướu, việc phát hiện đồng thời hai ung thư nguyên phát trong hệ tiêu hóa là rất hiếm. Trường hợp này cho thấy vai trò quan trọng của thăm khám toàn diện và chẩn đoán chính xác trong việc xây dựng phác đồ điều trị tối ưu.
“Đáng chú ý, ung thư đường mật trong gan thường có tiên lượng xấu do phát hiện muộn. Tuy nhiên, ở bệnh nhân này, bệnh được phát hiện tương đối sớm nhờ triệu chứng tắc mật, tạo điều kiện để can thiệp phẫu thuật triệt căn”, PGS Phương chia sẻ.

Để đề phòng các bệnh ung thư, PGS Phương khuyến cáo, người bệnh cần khám sức khỏe định kỳ, đặc biệt khi có triệu chứng bất thường như đau bụng, vàng da, rối loạn tiêu hóa kéo dài.
Đồng thời cần nội soi tiêu hóa và tầm soát ung thư sớm; Tuân thủ theo dõi sau điều trị, đặc biệt với ung thư đường mật có nguy cơ tái phát cao.
Nếu người bệnh mắc ung thư, sau điều trị, bệnh nhân cần tái khám định kỳ 3-6 tháng/lần với các phương pháp như siêu âm, CT hoặc MRI và xét nghiệm dấu ấn ung thư. Với ung thư đại tràng, nội soi kiểm tra nên thực hiện mỗi 1-2 năm để phát hiện sớm tái phát hoặc tổn thương mới.