GIỮA “CANCER” CỦA CHÒM SAO CỰ GIẢI VÀ “CANCER” CỦA UNG THƯ CÓ MỐI LIÊN HỆ NÀO KHÔNG?

Theo Howard Markel, một nhà sử học y học tại Đại học Michigan, việc ung thư và chòm sao Cự Giải dùng cùng một từ, có thể do các nguyên nhân sau:

1. Các khối u ác tính tương đối “cứng”, có thể ví von giống như mai cua (Chú thích 1).

2. Bệnh nhân ung thư thường rất đau đớn tại vị trí khối u, như bị cua kẹp vậy. ← Điểm này có hơi khiên cưỡng, bởi vì đau do ung thư và đau do cua kẹp căn bản không cùng một cấp độ.

3. Khi phẫu tích khối u ác tính, bạn có thể thấy rằng khối u thường vươn về phía các tổ chức mô xung quanh tạo nên hình dạng như những cái chân cua. Đây là hiện tượng mà sách vở thường gọi là “xâm lấn / xâm nhập mô xung quanh”.

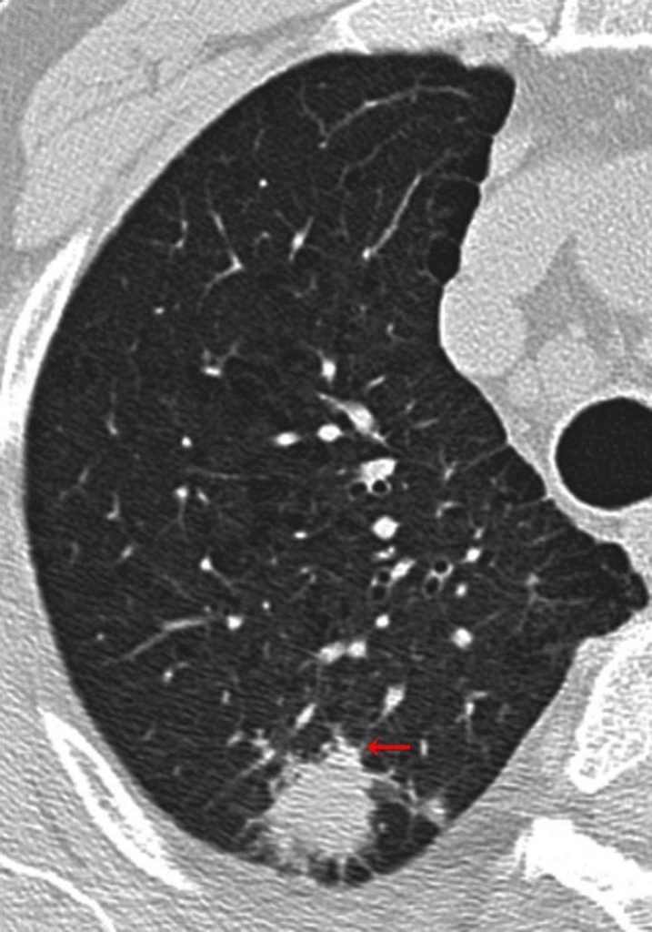
Đính kèm một bức ảnh cho các bạn dễ hình dung nhé! (Ảnh 1)

Trong hình là một khối u phổi ác tính trên hình ảnh CT lồng ngực (chú thích 2). Mũi tên màu đỏ được tác giả Hạnh Lâm Tiểu Thảo thêm vào. Bất thường này trên hình ảnh học được gọi là “dấu răng cưa” (毛刺征), tiếng anh là Spiculation sign (Chú thích 3).

Trong bệnh học, dấu răng cưa thường thể hiện cho sự xâm lấn của khối u ác tính đến các mô xung quanh (Chú thích 4).

Bất thường này thấy được ở rất nhiều khối u ác tính, cho nên, tôi nói đùa với giảng viên ở bộ môn chẩn đoán hình ảnh học của trường rằng: “Đừng gọi là “dấu răng cưa” nữa, chúng ta đổi luôn tên nó thành “dấu cự giải” (cancer sign) đi ạ!”

Sau đó vị giảng viên chẩn đoán hình ảnh học kia mới nhìn tôi bằng ánh mắt đầy trìu mến: “Vậy giáo trình năm sau cậu viết hộ tôi nhé!” o (╯ □ ╰) o

Bên trên là mối quan hệ giữa ung thư và Cự Giải trong tiếng anh. Trong tiếng trung cũng có hiện tượng gần giống như vậy.

Chẳng hạn như, có thể tổ tiên cũng phát hiện ra đặc tính “cứng rắn” của các khối u ác tính, vì vậy họ đã sử dụng chữ nham (岩) có nghĩa là núi đá , phát âm là /yán/, để đặt tên cho một số loại ung thư, ví dụ “乳岩” (nhũ nham) có nghĩa là ung thư vú.

Chữ nham “岩” có một biến thể là “喦”, ồ, thêm tật (疒) vào không phải thành chữ (癌) nham trong nham chứng (aka ung thư) rồi sao?

Ngày nay, người dân Đài Loan vẫn thường phát âm từ “nham” trong ung thư là /yán/ thay vì /ái/, có lẽ cũng vì lý do này (Chú thích 5).

Mở rộng một chút: Đến lúc đặt tên cho ung thư học, tiếng anh lại dùng từ “oncology”. Tiền tố onkos xuất phát từ óngkos trong tiếng Hy Lạp, có nghĩa là khối u, hay khối nhô lên (masses), còn về hậu tố -logy các bạn có thể xem thêm ở Zhihu câu hỏi: Tại sao tên tiếng anh của hầu hết các môn y khoa đều kết thúc bằng -logy? –phần trả lời của Hạnh Lâm Tiểu Thảo.

Trong tiếng Trung, cũng có hiện tượng tương tự là từ “肿瘤” (thũng lưu aka khối u, tumour). “肿” là sự gia tăng thể tích và “瘤” ý chỉ khối mô mềm đột nhiên trồi lên.

Bởi vì thuật ngữ cancer phổ biến rộng rãi, cho nên, rất nhiều tổ chức nghiên cứu liên quan đến ung bướu sử dụng hình con cua trong logo, chẳng hạn như Hiệp hội phòng chống ung thư Trung Quốc: (ảnh 2)

Vị nguyên hội trưởng nhất định thuộc cung cự giải, bạn xem, tân hội trưởng chỉ hận chưa xiên cho vị kia một kiếm nữa thôi.

↑ Tui nói đùa đó, đừng coi là thật nha.

Chú thích 1: Nói một cách chính xác, thuật ngữ “癌症” (nham chứng – cancer) có nghĩa là ung thư, chỉ chung chung tất cả mọi khối u ác tính. Còn một từ tương tự là “癌”(nham – carcinoma) dùng để chỉ các khối u ác tính có nguồn gốc từ biểu mô hay ung thư biểu mô. Nói cách khác, “癌” nham chỉ là một phần nhỏ của “癌症” nham chứng hay ung thư mà thôi.

Thông thường, “癌” hay carcinoma là những khối u ác tính “tương đối cứng”, còn các khối u ác tính khác thì hoặc tương đối mềm hơn (chẳng hạn như “sarcoma”) hoặc đến cả tổn thương nhìn thấy được bằng mắt thường cũng không có luôn (chẳng hạn như “leukemia”).

Đối với người không nghiên cứu sâu, sự nhầm lẫn giữa “癌” nham và “癌症” nham chứng không quan trọng lắm, vì vậy tôi sẽ không phân tích kỹ trong bài viết này.

Chú thích 2: Ung thư biểu mô tuyến ở phổi (Pulmonary adenocarcinoma).

Chú thích 3: “Dấu răng cưa” thường dùng để mô tả bờ nham nhở xung quanh tổn thương ác tính, gai có thể dài hoặc ngắn, dài thì gọi là “dấu răng cưa dài”, ngắn gọi là “dấu răng cưa ngắn”. Dấu răng cưa ngắn phân bố đều hơn còn được gọi là “dấu vương miện”. Ý nghĩa về bệnh học đằng sau các dấu này không hoàn toàn giống nhau. Mũi tên màu đỏ trong hình chỉ “dấu răng cưa ngắn”.

Lưu ý 4: Ngay cả với “dấu răng cưa ngắn”, ý nghĩa về bệnh học đằng sau nó cũng rất phức tạp, có thể không đơn thuần chỉ sự xâm lấn của khối u mà cũng có thể là thâm nhiễm viêm, tăng sinh mô liên kết dạng sợi,… Do đó, việc vị giảng viên môn chẩn đoán hình ảnh kia bác bỏ việc đổi tên “dấu răng cưa” thành “dấu cự giải” là có lý do cả.

Lưu ý 5: Quá trình hình thành của hán tự “癌” thực ra rất phức tạp, các bạn có thể tham khảo trong sách “Nham tự thám nguyên” của Hoàng Hà Thanh (sách tiếng Trung).

Nhắc nhở nho nhỏ:Chữ “cứng” về tính chất khối u chỉ mang tính tương đối.Thuật ngữ “Dấu răng cưa” khiến mình lấn cấn rất lâu vì không tìm được từ phù hợp trong tiếng Việt, rất vui nếu nhận được góp ý từ các bạn.

Leave a Reply

Your email address will not be published. Required fields are marked *