Thứ năm, ngày 27/11/2025 11:00 GMT+7
Diệu Linh Thứ năm, ngày 27/11/2025 11:00 GMT+7
Bệnh nhân nhập viện trong tình trạng nuốt nghẹn khó chịu, chán ăn thời gian dài dẫn đến cơ thể mệt mỏi, suy nhược.
Tin từ Bệnh viện K cho biết, mới đây, bệnh viện đã tiếp nhận, chẩn đoán và điều trị thành công cho trường hợp bệnh nhân có u mỡ thực quản dưới niêm mạc bằng phương pháp nội soi.
Bệnh nhân là bà Lâm Thị Th. (1966, trú tại thôn Phúc Lộc, xã Đoài Phương, Hà Nội) đến khám tại Bệnh viện K trong tình trạng nuốt nghẹn khó chịu, chán ăn thời gian dài dẫn đến cơ thể mệt mỏi, suy nhược.
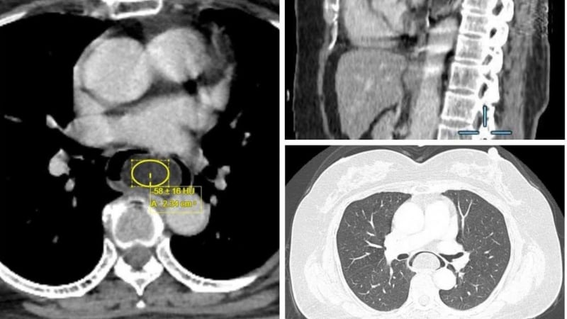
Người bệnh cho biết đã nuốt nghẹn kéo dài suốt 6 tháng. Qua thăm khám lâm sàng, các bác sĩ khoa Nội soi – Thăm dò chức năng, Bệnh viện K cho biết người bệnh có khối u thực quản. Khối u có cuống kích thước lớn, dưới niêm mạc, kích thước 16 x 3,5 x 3 cm.

Đây là khối u có kích thước khủng, thông thường các khối u dưới niêm mạc đường tiêu hóa có kích thước thường nhỏ hơn 3cm, và là “thủ phạm” gây ra cơn nuốt nghẹn của bệnh nhân.
TS, bác sĩ Bùi Ánh Tuyết, Trưởng khoa Nội soi – Thăm dò chức năng, Bệnh viện K cho biết thêm: “Đây là một trong những ca bệnh hiếm gặp, chỉ chiếm khoảng 0,03% tổng số trường hợp mắc u tân sinh ở thực quản.
Nếu tiếp tục để u phát triển, bệnh nhân có thể đối mặt với tình trạng nuốt nghẹn, khó ăn uống gây suy dinh dưỡng, ảnh hưởng lớn đến sức khỏe, sinh hoạt hàng ngày.
Ngoài ra, do u có cuống di động, kích thước khá lớn nên có nguy cơ chèn bít thanh quản, khí quản, nguy cơ suy hô hấp, có thể dẫn đến tử vong. Tuy nhiên, rất may mắn, trường hợp bệnh nhân Lâm Thị Th đã đến viện khám, được phát hiện và xử lý u mỡ kịp thời bằng phương pháp can thiệp qua nội soi”.
Các bác sĩ đã tiến hành can thiệp bằng nội soi ống mềm qua đường miệng, lấy toàn bộ khối u ra khỏi thực quản của người bệnh. Thời gian diễn ra chỉ vỏn vẹn 30 phút, xâm lấn tối thiểu, không có vết mổ thành ngực, không gây mất máu, bảo tồn cấu trúc và chức năng thực quản, giảm nguy cơ biến chứng chức năng nuốt sau phẫu thuật.
Một ngày sau can thiệp, người bệnh được ra viện với tình trạng sức khỏe ổn định, dự kiến tái khám 6 tháng/lần để đánh giá lại.
Bác sĩ Tuyết khuyến cáo, người dân nếu có dấu hiệu nuốt nghẹn kéo dài, đau bụng kéo dài, ợ chua, khó tiêu hoặc sút cân bất thường, nên đi khám sớm tại cơ sở y tế để được đánh giá và chẩn đoán kịp thời.
Việc thực hiện sàng lọc và đánh giá sớm khi có yếu tố nguy cơ có thể giúp người dân phát hiện sớm bệnh tật và tăng cơ hội điều trị thành công.